Skip to Content
About Us
Our Team
Darwin F. Johnson
Roseleigh Berman
Yohandra Polonco
Matthew Watkins
Videos
Testimonials
Case Results
Workers' Compensation
Industries We Serve
Airport & Airline
Construction
Firefighter & EMT
Grocery Store & Retail
Healthcare
Industrial & Factories
Law Enforcement
Logging & Tree Trimming
Poultry Processing
Roofing
Steelworker
Power & Utilities
Trucking
Employers
Amazon Warehouse
Americold Logistics
Coca-Cola
Delta Airlines
FedEx
Home Depot
J.B. Hunt
Kia Motors
Mohawk Industries
Pilgrim's Pride
Shaw Industries
Tip Top Poultry
Toyo Tires
UPS
Walmart
Serious Workplace Injuries
Back Injuries
Brain Injuries
Carpal Tunnel
Crush Injuries
Head Injuries
Hip Injuries
Knee Injuries
Neck Injuries
Paralysis
Shoulder Injuries
Spinal Cord Injuries
Traumatic Brain Injuries
Personal Injury
Brain Injuries
Car Accidents
Motorcycle Accidents
Spinal Cord Injuries
Truck Accidents
Workplace Injuries
Areas We Serve
Atlanta
Personal Injury
Workers' Compensation
Athens
Dalton
Duluth
Personal Injury
Workers' Compensation
Johns Creek
Personal Injury
Workers' Compensation
Lawrenceville
Personal Injury
Workers' Compensation
Macon
Marietta
Personal Injury
Workers' Compensation
Roswell
Personal Injury
Workers' Compensation
Sandy Springs
Personal Injury
Workers' Compensation
Warner Robins
Resources
FAQs
Our Blog
Blog
Categories
Advice
Advocacy
Amazon
Athens
Atlanta
Atlanta Accident Law
Atlanta Accident Lawyer
Atlanta Accident Prevention
Atlanta Car Accident Lawyer
Atlanta Drunk Driving
Atlanta Workers Comp
Atlanta Workers Comp Attorney
Atlanta Workers Comp Laws
Atlanta Workers Comp Lawyer
Atlanta Workers Compensation
At-risk
Attorneys
Biblioteca
Brain Injury
Catastrophic Workplace Injury
Compensation
Dangerous Employment
Defense
Education
Employees
Employer's Laws
Ergonomics
FAQs
First Responder
Ga
Georgia
Georgia Immigrant Workers
Healthcare Workers
Immigrant Workers
Injuries
Injury
Injury Prevention
Job Hazards
Law
Lawsuit
Lawyers
Liability
Macon Workers Comp
Pain Management
Personal Injury
Premises Liability
Preparation
Regulations
Relief
Representation
Safety
Savannah Workers Comp
Savannah Worker's Comp
Slip and Fall
Spinal Injury
Tips
Unjust Injury
Unjust Personal Injury
Well-Being
Work Injuries
Work Injury
Workers
Workers Comp
Worker's Compenation
Workers Compensation
Worker's Compensation
Workers' Compensation
Worker's Rights
Workplace Injuries
Workplace Injury
2026
January
2025
December
November
September
August
July
June
April
March
February
2024
March
2020
October
July
June
April
March
February
January
2019
December
November
October
September
August
July
June
May
April
March
February
January
2018
December
October
August
July
May
April
February
January
2017
November
October
September
August
June
May
April
March
February
January
2016
December
November
October
September
August
July
June
May
April
March
January
2015
December
November
October
August
July
June
April
March
February
January
2014
December
November
Español
Close
Search
About Us
Main Menu
Our Team
Darwin F. Johnson
Roseleigh Berman
Yohandra Polonco
Matthew Watkins
Videos
Testimonials
Case Results
Workers' Compensation
Main Menu
Industries We Serve
Airport & Airline
Construction
Firefighter & EMT
Grocery Store & Retail
Healthcare
Industrial & Factories
Law Enforcement
Logging & Tree Trimming
Poultry Processing
Roofing
Steelworker
Power & Utilities
Trucking
Employers
Amazon Warehouse
Americold Logistics
Coca-Cola
Delta Airlines
FedEx
Home Depot
J.B. Hunt
Kia Motors
Mohawk Industries
Pilgrim's Pride
Shaw Industries
Tip Top Poultry
Toyo Tires
UPS
Walmart
Serious Workplace Injuries
Back Injuries
Brain Injuries
Carpal Tunnel
Crush Injuries
Head Injuries
Hip Injuries
Knee Injuries
Neck Injuries
Paralysis
Shoulder Injuries
Spinal Cord Injuries
Traumatic Brain Injuries
Personal Injury
Main Menu
Brain Injuries
Car Accidents
Motorcycle Accidents
Spinal Cord Injuries
Truck Accidents
Workplace Injuries
Areas We Serve
Main Menu
Atlanta
Personal Injury
Workers' Compensation
Athens
Dalton
Duluth
Personal Injury
Workers' Compensation
Johns Creek
Personal Injury
Workers' Compensation
Lawrenceville
Personal Injury
Workers' Compensation
Macon
Marietta
Personal Injury
Workers' Compensation
Roswell
Personal Injury
Workers' Compensation
Sandy Springs
Personal Injury
Workers' Compensation
Warner Robins
Resources
Main Menu
FAQs
Our Blog
Blog
Main Menu
Categories
Advice
Advocacy
Amazon
Athens
Atlanta
Atlanta Accident Law
Atlanta Accident Lawyer
Atlanta Accident Prevention
Atlanta Car Accident Lawyer
Atlanta Drunk Driving
Atlanta Workers Comp
Atlanta Workers Comp Attorney
Atlanta Workers Comp Laws
Atlanta Workers Comp Lawyer
Atlanta Workers Compensation
At-risk
Attorneys
Biblioteca
Brain Injury
Catastrophic Workplace Injury
Compensation
Dangerous Employment
Defense
Education
Employees
Employer's Laws
Ergonomics
FAQs
First Responder
Ga
Georgia
Georgia Immigrant Workers
Healthcare Workers
Immigrant Workers
Injuries
Injury
Injury Prevention
Job Hazards
Law
Lawsuit
Lawyers
Liability
Macon Workers Comp
Pain Management
Personal Injury
Premises Liability
Preparation
Regulations
Relief
Representation
Safety
Savannah Workers Comp
Savannah Worker's Comp
Slip and Fall
Spinal Injury
Tips
Unjust Injury
Unjust Personal Injury
Well-Being
Work Injuries
Work Injury
Workers
Workers Comp
Worker's Compenation
Workers Compensation
Worker's Compensation
Workers' Compensation
Worker's Rights
Workplace Injuries
Workplace Injury
2026
January
2025
December
November
September
August
July
June
April
March
February
2024
March
2020
October
July
June
April
March
February
January
2019
December
November
October
September
August
July
June
May
April
March
February
January
2018
December
October
August
July
May
April
February
January
2017
November
October
September
August
June
May
April
March
February
January
2016
December
November
October
September
August
July
June
May
April
March
January
2015
December
November
October
August
July
June
April
March
February
January
2014
December
November
Español
Contact Us
Call Us Today!
Follow Us
(470) 285-8246
CONTACT US
Top
July
Most Recent Posts from July, 2016
Categories
Advice
Advocacy
Amazon
Atlanta
Atlanta Accident Law
Atlanta Accident Lawyer
Atlanta Accident Prevention
Atlanta Car Accident Lawyer
Atlanta Drunk Driving
Atlanta Workers Comp
Atlanta Workers Comp Attorney
Atlanta Workers Comp Laws
Atlanta Workers Comp Lawyer
Atlanta Workers Compensation
At-risk
Attorneys
Biblioteca
Brain Injury
Catastrophic Workplace Injury
Compensation
Dangerous Employment
Defense
Education
Employees
Employer's Laws
Ergonomics
FAQs
First Responder
Georgia
Georgia Immigrant Workers
Healthcare Workers
Immigrant Workers
Injuries
Injury
Injury Prevention
Job Hazards
Law
Lawsuit
Lawyers
Liability
Macon Workers Comp
Pain Management
Personal Injury
Premises Liability
Preparation
Regulations
Representation
Safety
Savannah Workers Comp
Savannah Worker's Comp
Slip and Fall
Spinal Injury
Tips
Unjust Injury
Unjust Personal Injury
Well-Being
Work Injuries
Work Injury
Workers
Workers Comp
Worker's Compenation
Workers Compensation
Worker's Compensation
Workers' Compensation
Worker's Rights
Workplace Injuries
Workplace Injury
Archives
2026
(3)
January
(1)
2025
(11)
December
(1)
November
(1)
September
(1)
August
(1)
July
(1)
June
(2)
April
(1)
March
(2)
February
(1)
2024
(133)
March
(133)
2020
(22)
October
(1)
July
(3)
June
(6)
April
(3)
March
(3)
February
(2)
January
(4)
2019
(18)
December
(1)
November
(3)
October
(5)
September
(1)
August
(1)
July
(1)
June
(1)
May
(1)
April
(1)
March
(1)
February
(1)
January
(1)
2018
(20)
December
(1)
October
(4)
August
(4)
July
(2)
May
(2)
April
(1)
February
(2)
January
(4)
2017
(24)
November
(2)
October
(2)
September
(4)
August
(2)
June
(4)
May
(2)
April
(2)
March
(2)
February
(2)
January
(2)
2016
(21)
December
(3)
November
(1)
October
(2)
September
(1)
August
(2)
July
(1)
June
(3)
May
(2)
April
(2)
March
(3)
January
(1)
2015
(24)
December
(2)
November
(2)
October
(4)
August
(2)
July
(2)
June
(2)
April
(4)
March
(1)
February
(2)
January
(3)
2014
(4)
December
(2)
November
(2)
Jul 26, 2016
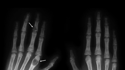
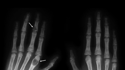
Details About Broken Bones
Ready To Help You
We Fight. You Recover.
First Name
Please enter your first name.
Last Name
Please enter your last name.
Phone
Please enter your phone number.
This isn't a valid phone number.
Email
Please enter your email address.
This isn't a valid email address.
Are you a new client?
Yes, I am a potential new client
No, I'm a current existing client
I'm neither.
Please make a selection.
How can we help you?
Please enter a message.
By submitting, you agree to receive text messages from The Law Offices of Darwin F. Johnson at the number provided, including those related to your inquiry, follow-ups, and review requests, via automated technology. Consent is not a condition of purchase. Msg & data rates may apply. Msg frequency may vary. To opt-out, reply STOP. For help, reply HELP.
Acceptable Use Policy
Send Message